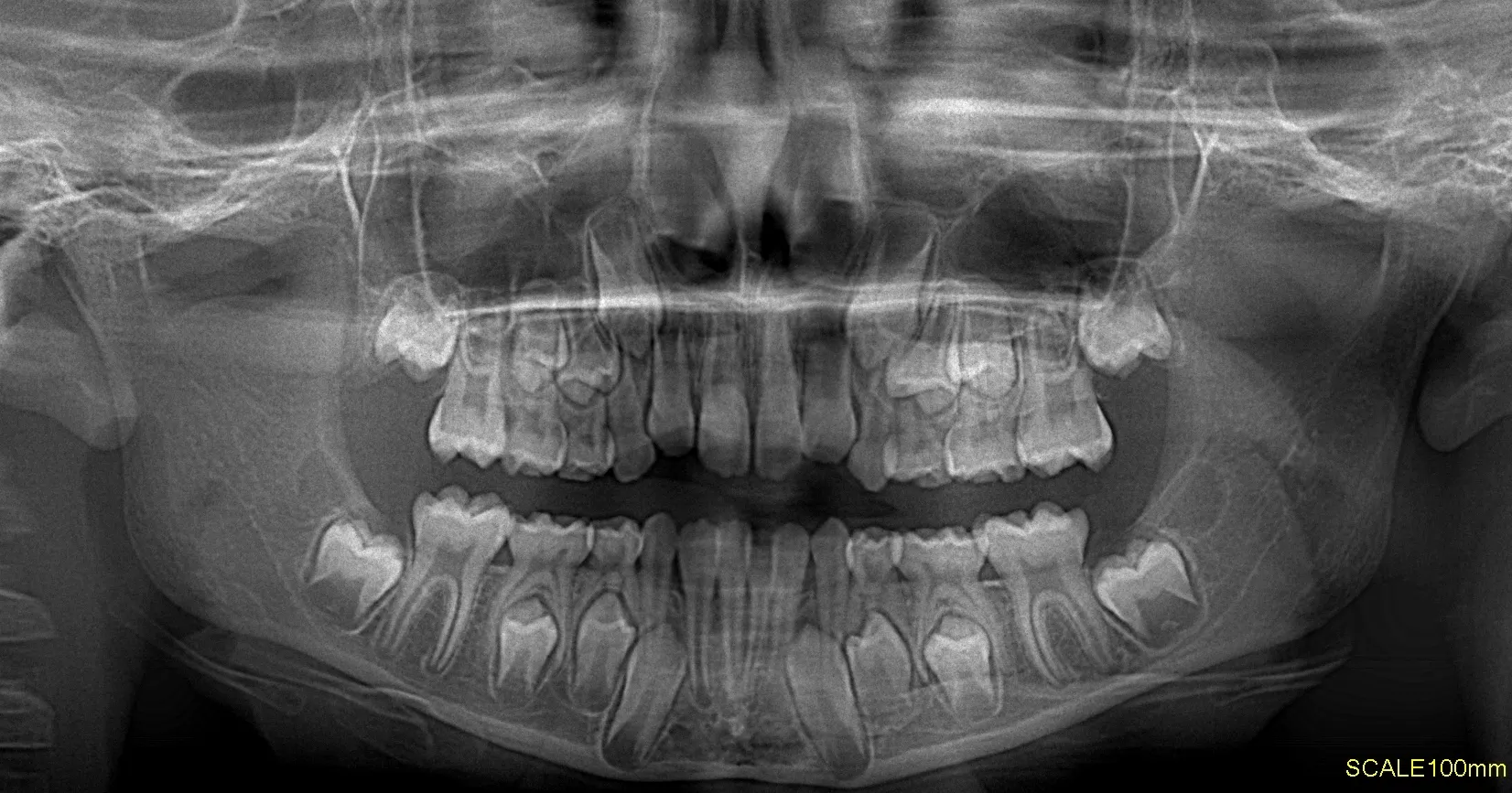
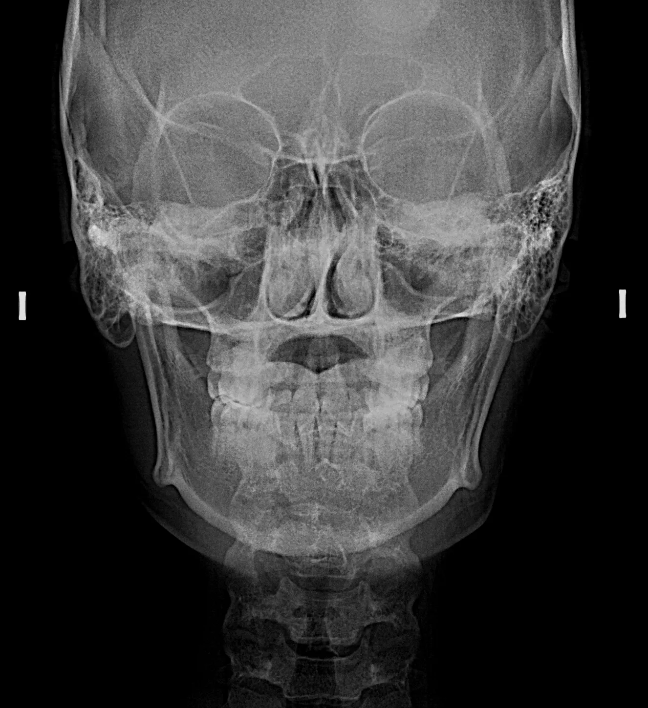
Radiografías Extraorales

Las radiografías extraorales permiten obtener imágenes completas de los maxilares, la articulación temporomandibular (ATM) y las estructuras faciales sin colocar el sensor dentro de la boca.

Realizamos estudios como radiografía panorámica, cefalométrica, de senos paranasales y de ATM, esenciales para tratamientos de ortodoncia, cirugía y diagnóstico integral.

En nuestra clínica utilizamos equipos digitales de alta resolución y baja radiación, que garantizan comodidad y precisión diagnóstica.